Centro de Pesquisa para o Desenvolvimento de Materiais Funcionais
Estudo com participação de pesquisadores do Centro de Desenvolvimento de Materiais Funcionais, um CEPID da FAPESP, apresenta uma nova arquitetura molecular baseada em estruturas metalorgânicas (MOFs) de zircônio, projetada para a degradação eficiente de contaminantes emergentes da água
Instituto de Pesquisa sobre Neurociências e Neurotecnologia
Em parceria com pesquisadoras de Angola, professora da Unicamp vai liderar sequenciamento de 750 amostras de DNA daquele país; informações vão contribuir para o desenvolvimento da medicina de precisão
Centro de Pesquisa em Biodiversidade e Mudanças Climáticas
Cientistas observaram que comunidades bacterianas das colônias mudam conforme os alimentos oferecidos por formigas-cortadeiras ao fungo simbionte. Pesquisa pode ajudar na prospecção de novas moléculas para biocombustíveis e biorremediação
Centro de Pesquisas em Óptica e Fotônica
Pesquisadores da Embrapa desenvolveram tecnologia que facilita inventários ambientais e pode impulsionar o mercado de créditos de carbono ao baratear análises e aumentar frequência de medições
Centro de Pesquisa para o Desenvolvimento de Materiais Funcionais
Cinco obras de Enio Longo foram selecionadas para a mostra japonesa: “Vibrações”, “Dança das Cores”, “Universo em Harmonia”, “Torre de Babel” e “Labirinto”
Centro de Pesquisa em Ciências Matemáticas Aplicadas à Indústria
Tiago Pereira, que também é pesquisador do CeMEAI, um CEPID da FAPESP, terá a oportunidade de passar um período no International Centre for Theoretical Physics (ICTP), em Trieste, Itália
Centro de Pesquisa em Doenças Inflamatórias
Resultados indicam que a resposta imune inata permanece ativada, mesmo com o uso de imunossupressores, e abrem caminho para a busca de novas terapias para evitar rejeição de órgãos
Centro de Engenharia Molecular para Materiais Avançados (CEMol)
Em testes realizados em laboratório, o sistema funcionou de forma estável durante 120 horas; protótipo também foi verificado ao ar livre e manteve a mesma eficiência
Centro de Estudos da Favela
Enquanto o Morumbi registrou média de 30 °C entre dezembro de 2024 e fevereiro de 2025, na favela de Paraisópolis, sua vizinha, o calor em superfícies chegou a 45 °C; mapeamento é do CEFAVELA, um centro apoiado pela FAPESP
CEPID Bridge: Gestão de Ecossistemas para Transições Sustentáveis
Pesquisadores do CEPID Bridge da FAPESP participam de evento sobre economia circular para implementar inovação em soluções industriais de baixo carbono
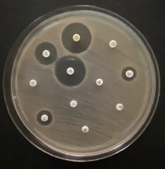
Instituto Paulista de Resistência aos Antimicrobianos (Projeto ARIES)
Em artigo publicado em revista científica, grupo ressalta que o país deve alinhar políticas internas a compromissos internacionais
CEPID Bridge: Gestão de Ecossistemas para Transições Sustentáveis
Encontro reúne pesquisadores vinculados ao CEPID Bridge da FAPESP e especialistas da Austrália e objetiva construir soluções práticas com comunidades tradicionais, catadores e cooperativas
Centro de Pesquisa em Toxinas, Resposta Imune e Sinalização Celular
Publicação de plataforma do CeTICS é um guia com todos os testes que podem ser realizados com peixe tropical de água doce, também conhecido como "paulistinha", usado em investigação científica
Centro de Estudos da Favela
Brazil Data Cube-Favelas, parceria do Instituto Nacional de Pesquisas Espaciais e do CEFAVELA, um CEPID da FAPESP, vai dar acesso a grandes volumes de dados; artigo sobre a tecnologia foi premiado no Workshop Computação Aplicada